
Kneprotese
Ei kneprotese, erstattar dei øydelagde leddflatene. Det finnast ulike typar proteser som vert nytta, avhengig av graden av slitasje i kneet.
Kva er ei kneprotese?
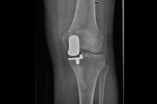
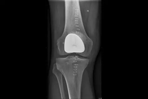
Kneprotesen er ein erstatning for øydelagde leddflater i kneet. Den består av 2 metalldelar som vert festa på lårbeinet og skinnebeinet. Leddflata på lårbeinet består av metall, leddflata på skinnebeinet av høgforedla plast. Metalldelane vert festa med eller utan beinsement. Ei totalprotese dekkjer heile leddflata både på lårbeinet og på skinnebeinet. Det pre- og postoperative forløpet er likt for alle protesetypane.



Forventningar før operasjonen
Å få protese er eit stort inngrep. Vi gjer det vi kan for at du skal bli fornøgd med resultatet. Nokre av pasientane ( omlag 10%) kan ha problem med smerter eller nedsatt rørsle etter operasjonen. Det kan gjere det naudsynt med vidare tiltak. I dei fleste tilfelle vil ein med målretta fysioterapi og trening, kunne korrigerre problema. I enkelte tilfelle kan det og bli naudsynt med mindre operative tiltak. På denne måten vil eit fleirtal av pasientane verte hjulpne til eit godt resultat.
Trening før operasjon
Praktisk informasjon om kneprotese og operasjon
Kor lenge held ei kneprotese?
Ei kneprotese er eit mekanisk ledd som er utsett for slitasje. Difor vil varigheta av protesa vera avhengig av kor mykje du brukar ho. Aktive personar vil slita protesa raskare. På bakgrunn av nasjonale og internasjonale undersøkingar kan vi i dag rekne med ei haldbarheit på 20 år og meir.
Kva om protesa må bytast?
Kan eg operere begge knea samstundes?
Kor lang tid skal det gå før eg kan operere det andre kneet?
Kva om eg får problem med protesa?
Om du får problem med protesa vil du alltid ha mogligheit for å ta kontakt og vidare tiltak vil då verte drøfta på kontroll.
Alle leddproteser har blitt følgt opp i eit register i Norge sidan 1987 (Nasjonalt register for leddproteser). Dette har hatt mykje å seie for å kunne følge opp kvaliteten på protesekirurgien.
Vi oppfordrar deg til å gje ditt samtykke til at også din operasjon kan registrerast. Dette blir gjort fyrste gong når du er på poliklinikken den dagen du vert førebudd til operasjon. Operatøren fyller ut eit skjema etter operasjonen. Etter eitt år vil du få tilsendt eit spørjeskjema som du skal svare på.
Det er Helse Bergen og Haukeland Universitetssjukehus som styrer registeret.
Planlegg korleis du skal komme deg til og frå sjukehuset.
Du må sjølv organisere transport og det beste for deg er om du kan bli henta. Ta kontakt med Pasientreiser dersom du er usikker. Ein får dekka standardsats hjå pasientreiser, både for transport og overnatting. Ein får ikkje noko ekstra for eigen bil eller sjåfør, då ein etter ein slik operasjon er i stand til å bruke offentleg kommunikasjon om ønskjeleg.
Overnatting
Førde sentralsjukehus
Treng du overnatting natta før du skal innleggast? På Førde sentralsjukehus finns det pasienthotell.
Lærdal sjukehus
Treng du overnatting natta før du skal innleggast? Det er pr i dag ikkje pasienthotell i Lærdal, men i sentrum finn du fleire overnattingsstadar. OBS: merk deg avstanden mellom sentrum og sjukehuset.
Nokre av dei er kun åpne i sesong. Ellers vil du og finne overnattingsmoglegheiter i Sogndal og Årdal.
Innkjøp av mat
Planlegg innkjøp slik at du slepp å reise på butikken dei fyrste dagane etter at du kjem heim.
Opprett kontakt med ein fysioterapeut
Dersom du ikkje har hatt fysioterapi før operasjonen tilrår me deg no til å orientere deg om fysioterapitilbodet på heimstaden din. Du treng ikkje henvisning for å få behandling av fysioterapeut, ta direkte kontakt og avtal behandlinga.
Opprett kontakt med kommunen
Dersom du trur du vil trenge kommunal rehabilitering, eller heimesjukepleie, kan det vera lurt å ta kontakt med kommunen på førehand for å førebu dei på at du vil trenge hjelp.
Store ortopediske inngrep vil vera forbunde med smerte dersom ein ikkje gir tilstrekkeleg smertestillande behandling.
Vi har eit omfattande smertebehandlingsprogram som gir den nødvendige smertelindringa.
Opplegget byggjer på ein basisbehandling som består av smertelindrande og betennelsesdempande medikament. Nokre vil ha behov for ytterligare smertebehandling. Medisinane vil ikkje ta vekk all smerte, men er meint til å halde det på eit nivå der du har et bra (blå/grøn sone på skalaen under). Det er ikkje farleg å ha sårsmerter og det betyr ikkje at noko er gale.
For å få best mogleg smertebehandling, er det viktig at du er åpen og ærleg om evt tidlegare forbruk av smertelindrande medikament. Det oppgir du ved samtale med lege på poliklinikken, eller når du kjem til avdelinga. Då er det lettare for oss å tilpasse behandlinga optimalt.
Det er og viktig å tenkje på at sosiale forhold (samlivsbrot, tap av arbeid, kven bur pasienten med, pågåande belastningar relatert til anna enn ortopediske problem, kulturell bakgrunn), psykiske forhold (angst/depresjon, tap i nær relasjon, alvorlig sjukdom i nær relasjon, motivasjon, opplevelse av tap av kontroll, smertefokusering), og fysiske forhold (som fysisk aktiviet, sjukehistorie), kan ha noko å seie for både det postoperative forløpet og smertebehandlinga.
For å måla effekten av den smertebehandlinga du får, brukar vi ein analog smerteskala (sjå bilete under). Denne går fra 0 til 10 og gir oss et mål på ditt behov for smertestillande medikament. Her står det og litt forklaring på tala, slik at du kan lettare setje tall på smerten du opplever. Når vi spør deg om kor sterke smerter du har på ein skala frå null til ti så er det denne skalaen vi meiner.

Behovet for smertestillende medikament er størst dei første dagane etter operasjonen. Det er viktig at du gir beskjed dersom smertene går ut over søvn, avspenning og trening, slik at du kan få meir smertestillande.
Dette bør du ta med til innlegginga
- Krykkjer
Dersom du ikkje har krykkjer sjølv, vil du få det på avdelinga. Det er som regel ikkje naudsynt med andre hjelpemiddel etter operasjonen. Dersom du skal operere begge knær samtidig kan du vurdera behov for toalettforhøgar. - Toalettsaker og undertøy
- Klede
Pass på at bukser har vide nok bein til å gå over ein tjukk bandasje. Trange jeans er ikkje lurt. - Faste sko som sit godt på foten, gjerne joggesko med sklisikker såle. Det er viktig at skoa er romslege då foten vil hovne opp etter operasjonen. Ta gjerne med eit par sandalar/slippers for småturar.
- Oppdatert medisinliste over dine faste medisinar. Ta med medisinane i originalemballasje. Ta ikkje med verdisaker som smykker og større pengebeløp.
Sjukdom og hud
- Forkjøling, feber, urinvegsinfeksjon eller andre infeksjonar i kroppen.
- Sår, rifter, insektsbitt eller kviser på huda rundt operasjonsområdet, då det kan vere inngangsport for bakteriar.
- Sår andre stader på kroppen.
- Vore innlagd på sjukehus eller gjennomgått kirurgiske inngrep (inkludert tannbehandling) sidan proteseoperasjonen vart bestemt.
- Er du plaga med hyppig urinvegsinfeksjon bør du ta ei urinprøve hos fastlegen din seinast tre veker før operasjonen. Er det aktuelt, kan legen din starte behandling raskt slik at du er klar til operasjon som planlagd.
- Har jobba på sjukehus i utlandet siste 12 månadene. Prøver for MRSA, ESBL og VRE må da takast.
Tannstatus
Røyking
Medisinar
Heimreise
Førebuingar dagen og kvelden før operasjonen
- I innkallinga di vil det stå oppmøtetidspunkt. Stort sett vert du innlagt same dagen som operasjonen. I spesielle tilfelle kan det hende du må innleggast dagen før, eller bu på pasienthotellet.
- Om kvelden skal du dusje og vaske deg med ei spesiell såpe kalla Hibiscrub. Denne såpa får du kjøpt på apoteket. Dersom du har eksem, psoriasis eller er allergisk mot Hibiscrub, skal du bruke såpe som du nyttar til vanleg. Ta på reine klede etter dusjen. Gjenta dusj om morgonen før avreise til sjukehuset.
-
Du skal faste frå klokka 02 natta før. Dette betyr at du ikkje skal eta, drikke, røyke, snuse eller tygge tyggegummi. Du kan drikke klare væsker (kaffi utan mjølk eller fløyte, te, vatn, saft og juice utan fruktkjøtt) inntil to timar før operasjonen. Er ein tidleg oppe, kan det vere ein fordel å ta seg litt drikke.
- Ein skal ikkje røyke eller snuse dei siste to timane før operasjonen.
Ved innlegging ved Lærdal sjukehus
Meld deg i resepsjonen i 1. etasje når du kjem. Resepsjonen er stengt på kveld og natt. Da melder du deg direkte på vaktrommet på Ortopedisk avdeling i 3. etasje. Du kan ta direkte kontakt med avdelinga på telefon 57640180. Vi tek i mot deg, visar deg rundt og gir deg nødvendig informasjon.
Du får ein samtale med legen som skal operera deg i forkant av operasjonen. Du får og møte fysioterapeut, som vil gi deg naudsynt informasjon om forløpet etter operasjonen.
- Beveg anklane aktivt opp og ned
- Strekk kneleddet aktivt ved å presse knehasen ned i madrassen. Hald nokre sekundar og slapp av. Hald spenninga i 5 sekund og slapp av.
Etter operasjonen blir det lagt vekt på at du skal få best mulig rørsle i kneet, god muskelkontroll og at du kan forflytte deg trygt med krykkjer eller anna hjelpemiddel.
Gange
Du kan belaste protesekneet med full kroppsvekt innafor smertegrensa, men du er avhengig av sterk og god muskulatur for å kunne gå normalt utan hjelpemiddel. Vanlegvis brukar du preikestol operasjonsdagen, og krykkjer startar du opp med dagen etterpå. Ta heller fleire korte gåturar enn ein lang, og du auk aktiviteten gradvis etter avtale med fysioterapeuten. Ta gode pausar der du legg foten høygt for å unngå å stresse kneet.
Sjå instruksjonsvideo av riktig krykkjeteknikk, og gonge med krykkjer i trapp
Diagonalgonge med krykkjer (foretrekt teknikk)
Fysioterapi på sjukehuset
Du vil få behandling av fysioterapeut dagleg under opphaldet på sjukehuset. Fysioterapeuten vil trena med deg, og gi deg instruksjon i øvingar som du skal gjøre på eigahand.
Eigentrening
Det er mykje du sjølv kan gjøre for å fremje mobilitet og muskelkontroll. Du skal fleire gonger om dagen fylje program for eigentrening. Dersom kneet eller muskulaturen rundt blir meir vond kan du heller gjere ferre repetisjonar:
Passiv strekkøving av kneet
Forsøk å liggje med kneet mest mulig utstrakt, og bruk kun pute under kneet dersom du har behov for avspenning eller smertelindring. Ligg uten puta under kneet så lenge du klarar å slappe av. Puta kan også legjast under hælen slik at kneet tøyast ned mot underlaget av tyngekrafta.
Sirkulasjonsøvingar
For å fremje sirkulasjon skal du bevega oklene opp og ned 20 gonger ein gang i timen.
Napping av kneskjelet
Sit oppreist i senga med beina strekt ut framfor deg. Stram muskulaturen på framsiden av låret 10 gonger raskt etter kvarandre, utan at du tar "tar i for hardt". Kjenn at du bevegar aktivt på kneskjelet (patella) under bandasjen. Du kan gjere øvinga ca. annakvar vakne time.
Aktiv strekkøving (ekstensjon) av kneet
Sit oppreist i senga med strake bein langs underlaget. Fjern puta under kneet, og kjenn at kneet kvilar godt nedi underlaget. Stram muskulaturen på framsida av låret og strekk kneet aktivt. Hald nokre sekundar før du slepper opp. Utfør øvinga i 3 sett med 8 repetisjonar, 3 gonger for dagen.
Strakt beinløft
Stram muskulaturen på framsida av låret og strekk kneet. Forsøk å løfte heile beinet strakt opp til du har ca. 45 gradar i hofta. Hald kneet strakt og senk roleg ned igjen, gjenta 10 gonger. Utfør øvinga fleire gonger for dagen.
Se instruksjonsvideo av øvingar du skal gjere på eigahand:
- Du er godt smertelindra.
- Operasjonssåret er tørt.
- Du skal ha stødig gange med to krykkjer, også trygg i trapp.
- Du har tilstrekkjeleg funksjon i kneet.
Sjukemelding
Medisinar /reseptar
Transport
Gå til pasientreiser for meir informasjon om transport.
Operasjonssåret
- Sivning frå såret
- Aukande hevelse, raudme og varme lokalt i kneet
- Aukande smerter og nedsatt bevelelighet
- Nedsett allmenntilstand med feber
Medikament
Du skal dagleg ta blodproppførebyggande medikament, til alt er brukt opp. Det er viktig at ikkje smerter hindrar vidare trening og betring av funksjon. Du bør bruke smertestillande medikament til du er komen godt i gang med fysioterapi i heimkommuna. Du kan evt. drøfte bruk av smertestillande med fysioterapeuten.
Trening er ferskvare, så det er viktig at du held fram med øvingar også etter at du er utskreven fra sjukehuset. Eigentrening og den daglege aktiviten du gjør kvar einaste dag gir resultater!
Fysioterapi etter utskrivelse
Vanlegvis har man god nytte av fysioterapibehandling fleire gonger i veka den fyrste tida etter inngrepet. Fysioterapeuten tilpassar treninga individuelt og sikrar at du har god progresjon i opptreninga. Det er heilt normalt å følgast opp av fysioterapeut opp til eit år etter operasjonen, avhengig av kva slags funksjon i kneet du hadde før operasjonen, og kva slags aktivitar du ynskjer å returnera til.
Eigentrening
Sidan kneprotesa er avhengig av god stabilitet og sterk muskulatur for å fungera er det svært viktig at du trenar både med fysioterapeut og på eigahand. Nokre øvingar skal gjerast kvar dag, mens tyngre trening og lengre gåturar kan gjerast 3-4 gonger i veka.
Du skal gradvis auke aktivitetsnivået og veksle mellom aktivitet og kvile. Kneet kan følast smertefult under og etter trening, og det er normalt at leddet er hovent og varmt etter fysisk aktivitet. Ein eventuell reaksjon i leddet bør gå over innen eit døgn, og før du trenar igjen. Legg gjerne beinet høgt og kjøl ned med is etter trening. Det kan også vere naudsynt å nytta smertestillande eller betennelsesdempande medisin før eller etter trening.
Krykkjer
Ein hovudregel er at du skal kunne gå utan å halte, og med full strekk i kneet før du avviklar krykkjene. Du kan gå over til ei krykkje (på den frisk sida!) når du kjenner deg trygg nok. Som ein overgong kan det kan vere lurt å bruke gåstavar utandørs før du går heilt utan hjelpemiddel.
Gjenoppta aktivitetar
Det er viktig å være aktiv, både for protesekneet og din generelle helsetilstand. Det er få restriksjonar knytt til protesekneet, men introduksjon til nye aktivitetar og progresjon i treninga bør skje forsiktig og gradvis.
Du kan gå tur i ulendt terreng med eller utan krykkjer/stavar når funksjonen i kneet ditt tillet dette. For å løpe trengs det rask reaksjonsevne, god styrkje og stabilitet i kneet. Det er ikkje farleg å hoppe/løpe, men på sikt kan det gje økt slitasje på leddet og redusere levetiden på protesa. Det er anbefalt at du unngår aktivitet som utgjør en særskilt risiko for det opererte kneet (fotball, handball og anna lagidrett).
Du kan sykle når du har oppnådd tilstrekkeleg bøy i kneet. Start roleg, kun eit par minutter uten belastning. Du kan starte med utendørs sykling når form og funksjon tillater dette. Dersom du fortsatt ikkje klarar å sykle rundt på sykkel 3 mnd. etter operasjonen ber vi deg om å ta kontakt med sjukehuset.
Ved all type kirurgisk behandling kan det oppstå komplikasjonar. I forbindelse med kneprotesekirurgi er komplikasjonsraten låg.
Infeksjon
Blodpropp
På grunn av forandringar i blodet sin samansetning etter ein operasjon, kan det danna seg propper av levra blod i beina. Desse blodproppane kan i enkelte tilfelle løsne og setta seg fast i lungene. Dette kallast ein lungeemboli. Ein slik lungeemboli kan være ein akutt og alvorleg komplikasjon som krevjar rask behandling.